• 수부 질환
    류마티스관절염
    • 정상

    • 류마티스관절염

    초기에는 비수술적 치료 방법으로 비스테로이드 소염제나 스테로이드 제제 등을 활용하는
    약물요법을 활용하지만 장기간 증상이 호전되지 않을 경우에는 수술적 치료를 받아야 합니다
    • 류마티스관절염 진단
      재 다음 7개의 항목 중 4개 이상을 만족하고 1)~4)의 항목의 증상이
      6주 이상 지속될 때 류마티스 관절염 진단을 내리게 된다.
      초기 류마티스 관절염은 증상이 애매모호하기 때문에 평균 9개월 정도 진단이 지연되는 경향이 있다.

      조조강직: 관절이나 관절 주변의 뻣뻣함이 1시간 이상 지속됨

      세 부위 이상에 나타나는 관절염: 의사의 진찰로 3개 이상의 관절에서 동시에 붓기와 삼출이 관찰됨

      손 관절의 관절염: 손목, 손가락 중간마디 관절, 손바닥 관절 중 한 관절 이상의 종창

      대칭성 관절염: 좌우측의 같은 관절에 증상이 나타남

      류마티스 결절: 뼈가 튀어나오거나 관절의 한쪽에 만져지는 피하 결절

      혈액검사에서 류마티스 인자 양성

      X-선 검사에서 발견되는 뼈의 침식 징후

    류마티스관절염 치료방법
    • 비수술적 치료

      비스테로이드 소염제와 스테로이드 제제와 같은 약물치료를 통해 통증을 완화합니다. 최근에 가장 널리 쓰이는 메토트렉세이트와 같이 면역체계 자체에 영향을 주어 관절염 자체를 억제하는 약물을 활용하기도 합니다. 의약품의 발달로 인해 위장에 장애를 주는 일은 거의 사라졌다고 보아도 무방합니다. 단기간 효과 때문에 스테로이드 제제를 남용할 경우 류마티스 관절염 질환 자체보다 더 안 좋은 예후를 보일 수 있기 때문에 반드시 전문의와의 상담을 통해 치료해야 합니다.
    • 수술적 치료

      관절염 자체를 2년 이상 방치하거나 6개월 이상의 약물요법이 도움이 되지 않을 경우에 수술적 치료를 합니다. 관절염이 악화되는 것을 예방하기 위해서 혹은 교정하기 위해서, 그리고 통증을 완화하고 관절 기능을 향상시키기 위해 수술적 치료를 합니다.
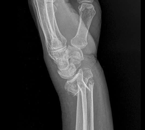
  • 수부 질환
    삼각섬유연골복합체파열
    • 정상

    • 삼각섬유연골복합체파열

    파열 정도에 따라 치료법이 바뀌는데 심하지 않을 경우에는
    소염진통제나 DNA 인대주사, 프롤로 인대 강화주사 등으로 증상을 완화시킬 수 있으며,
    손목의 움직임을 최소화함으로써 치료가 가능합니다.
    • 삼각섬유연골복합체파열 진단
      이학적 검사를 통해 환자의 통증과 증상을 살피고 삼각섬유연골
      파열이 의심될 경우 MRI검사를 통해 정밀검사를 진행합니다.
      삼각섬유연골파열은 X-ray촬영만으로는 잘 보이지 않기 때문에,
      MRI 촬영으로 파열된 모습을 정확하게 확인해야 합니다.
    삼각섬유연골복합체파열 치료방법
    • 비수술적 치료

      소염 진통제나 근 이완제 등으로 통증과 염증을 조절하기 위해 약물치료를 합니다. 통증이 심할 경우 스테로이드 주사치료를 하면 단기간에 통증과 염증의 완화 효과를 얻을 수 있습니다. 이와 함께 도수치료와 물리치료 그리고 재활운동을 병행하면 치료 효과를 높일 수 있습니다.
    • 수술적 치료

      관절내시경 수술 : 파열된 부위를 절제하여 다듬어주거나 봉합합니다. 3~6주 정도의 부목을 활용한 고정이 필요합니다.
  • 수부 질환
    결정종
    • 정상

    • 결정종

    손을 많이 쓰지 않아야 하며 혹이 크거나 통증이 있는 경우
    주사치료를 1차적으로 진행할 수 있습니다.
    • 결정종 진단
      결절종은 종양의 위치, 운동성, 촉진 시의 감촉 등으로 진단합니다. 혹 안에 주사기를 넣어
      투명한 젤리처럼 생긴 끈끈한 액체를 뽑아내어 진단하기도 합니다.
      이렇게 주사기로 액체를 뽑으면 혹이 없어지지만, 1~2일이 지나면 다시 혹이 커집니다.
      따라서 이 방법은 치료 목적으로 사용하지 않습니다. 이외에 다른 요인으로 결절종이 발생할 수도 있어
      방사선 사진, 초음파나 MRI 촬영을 진행하기도 합니다. 
    결정종 치료방법
    • 비수술적 치료

      결절종은 자연적으로 소실되는 경우가 많아 부목, 약물치료 등의 비수술적 치료를 시행합니다. 그러나 통증이 지속되거나 신경을 압박하는 경우 수술적 치료를 시행합니다.
    • 수술적 치료

      보존적 치료에도 통증이 지속되거나 불편감이 있는 경우 절개 또는 관절내시경 수술을 통해 결절종을 제거합니다. 외부에서 압박해 파열시키거나 주사기로 흡입하는 방법도 있으나 재발률이 매우 높습니다. 따라서 물혹과 함께 관절막이 연결된 부분을 같이 제거해줘야 재발 가능성을 줄일 수 있습니다.
  • 수부 질환
    손목건초염
    • 정상

    • 손목건초염

    염증 발생 부위의 사용을 최대한 자제하여 과부화된 부분의 휴식이 필요하며
    드물긴 하지만 협착에 의해 염증이 생길 수 있습니다.
    • 손목건초염 진단
      건초염은 의사가 직접 관찰하는 이학적 검사로 진단합니다.
      혈액 검사로 염증 반응 수치를 측정하는 것도 진단에 도움이 됩니다.
      건초염은 뼈에 생긴 이상이 아니므로 X-ray 상에는 이상 소견이 없습니다.
    손목건초염 치료방법
    • 비수술적 치료

      치료가 매우 간단한 질환이므로 증상 초기에는 보조기 착용과 소염진통제, 물리치료 등의 비수술적 치료를 시행합니다.
    • 수술적 치료

      보존적 치료에도 통증이 지속되면 1cm 가량의 최소절개 후 염증으로 두꺼워져 있는 신전지대를 절개하여 힘줄의 염증을 완화시켜주는 수술을 시행합니다.
  • 수부 질환
    수근관증후군
    • 정상

    • 수근관증후군

    양측성이지만 대부분 많이 사용하는 손에 통증이 나타납니다.
    비수술적 치료로도 호전될 수 있으나, 장기간 방치할 경우 수술적 치료를 고려해야 하므로 조기치료가 중요합니다.
    • 수근관증후군 진단
      1. 신경 타진 검사
      정중 신경이 지나가는 손목의 신경을 손가락으로 눌렀을 때,
      정중 신경의 지배 영역에 이상 감각이나 통증이 유발되는지 검사합니다.

      2. 수근 굴곡 검사
      손바닥을 안쪽으로 향하여 손목을 약 1분 동안 심하게 꺾었을 때,
      정중 신경의 지배 영역에 통증과 이상 감각이 나타나거나 심해지는지 검사합니다

        3. 전기적 검사
      무지구 근육(엄지손가락 밑부분의 불룩한 부분)에서 근전도의 이상이 있는지,
      손목에서 신경 전달 속도의 지연이 있는지를 검사합니다. 
    수근관증후군 치료방법
    • 비수술적 치료

      적절한 휴식과 약물치료, 주사치료, 재활운동 등의 비수술적 치료로 손상부위의 혈액순환을 개선합니다. 증상 초기에는 비수술적 치료만으로도 호전 가능하나, 통증이 지속된다면 수술적 치료를 시행합니다.
    • 수술적 치료

      ‘수근관증후군’의 가장 효과적인 치료는 수근관을 넓혀주는 것입니다. 수근관 유리술(Carpal tunnel release)은 상완신경총마취 후 손목을 2~3cm 정도 절개한 뒤 두꺼워진 인대를 절단하여 정중신경이 눌리는 것을 풀어주는 수술법입니다. 수술 시간은 5분 이내로 매우 짧고 증상도 금방 호전되지만, 4주간은 주의해야 합니다.
  • 수부 질환
    방아쇠수지
    • 정상

    • 방아쇠수지

    손가락을 구부리고 펴는 것을 관장하는 굴곡건에 염증이 생긴 질환입니다.
    손가락을 움직일 때 ‘딱’ 하는 마찰음이 난다고 하여 방아쇠 수지라고도 불립니다.
    • 방아쇠수지 진단
      손가락에 나타나는 통증 부위와 손가락을 쥐고 펼 때의 느낌 등
      그 증상이 뚜렷하게 나타날 경우, 의료진의 의학적 검사만으로도 진단이 가능합니다.
      다만, 통증 정도가 심할 경우 주변의 염증과 힘줄의 상태를 확인하기 위해
      초음파검사와 MRI검사를 통해 진단합니다.
    방아쇠수지 치료방법
    • 비수술적 치료

      증상 초기에는 대부분 주사치료를 통해 호전되며 약물치료, 운동치료를 등의 비수술적 치료를 시행합니다. 그러나 보존적 치료에도 증상이 호전되지 않거나 재발하는 경우 수술적 치료를 시행합니다.
    • 수술적 치료

      국소마취 후 1cm 가량의 피부를 절개한 후 A1 활차(두 번째 손가락과 손바닥을 연결하는 힘줄막)를 세로로 절개하는 수술적 치료를 시행합니다. 방아쇠 현상이 없어진 것을 확인하고 피부를 봉합하는 매우 간단한 수술법입니다.
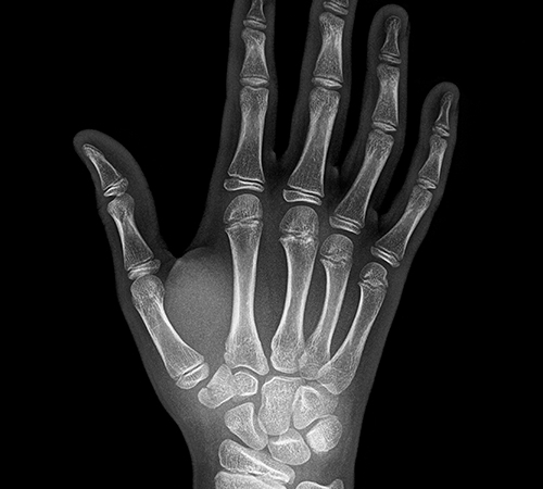
  • 수부 질환
    중수골골절
    • 정상

    • 중수골골절

    수부 골절의 20%에 이를 만큼 아주 흔한 골절 부위지만, 성장기에 발생할 경우
      손등의 변형과 손 사용에 제한이 올 수 있어 조기치료가 중요합니다.
    • 중수골골절 진단
      여러 각도에서 찍은 엑스레이를 토대로 골절을 진단합니다.
    중수골골절 치료방법
    • 비수술적 치료

      안정 골절은 국소마취 후 손으로 잡아당겨 골절을 맞추고 부목 고정을 시행합니다.
    • 수술적 치료

      불안정 골절은 금속판 고정, K-감선을 이용한 골수강 내 고정술을 이용하여 고정합니다. 주기적으로 X-ray 검사를 하여 골유합을 확인하고, 유합 후에는 재활치료를 시행합니다.
  • 수부 질환
    중수골간부골절
    • 정상

    • 중수골간부골절

    촉각 기능과 붙잡는 기능을 하는 손은 뼈와 관절 이외에도 중요한 신경 3개, 동맥 2개,
    힘줄과 근육은 20여 개가 넘는 복잡한 부위로
    정교하고 섬세한 치료가 가장 중요합니다.
    • 중수골간부골절 진단
      중수골 간부 골절은 단순 방사선 사진으로 진단할 수 있습니다.
       중수골 간부 골절의 특징적인 증상으로는 통증, 종창, 약화, 경직, 변형 등이 있습니다.
       또한 마비감이나 변질된 감각 증상이 나타날 수 있는데, 이는 신경이 손상되었을 수 있음을 시사합니다.
    중수골간부골절 치료방법
    • 수술적치료

      C-arm이라는 영상 장비를 통해 골절된 부위를 확인하며 미세한 철심이나 나사못으로 고정하기도 하고 골절 정도에 따라서 금속판과 나사 등을 이용하여 뼈를 고정하는 수술을 시행하게 됩니다. 수술 후 4~6주 정도 깁스를 하고 핀을 제거하며, 수술 부위가 강직되지 않도록 물리치료와 재활 치료를 진행합니다.
  • 수부 질환
    원위요골골절
    • 정상

    • 원위요골골절

    골절 형태가 매우 다양하고 다른 부위의 손상도 동반될 수 있어
    만성적인 불안정성을 유발하지 않도록 조기 치료가 중요합니다.
    • 원위요골골절 진단
      단순한 X-ray 검사로도 쉽게 진단됩니다.
      관절이 심하게 침범된 경우, 컴퓨터 단층 촬영(CT)이 필요하기도 합니다.
    원위요골골절 치료방법
    • 비수술적 치료

      안정 골절은 국소마취 후 손으로 잡아당겨 골절을 맞추고 부목 고정을 시행합니다.
    • 수술적 치료

      불안정 골절은 금속판 고정 또는 외고정 장치를 이용하여 고정합니다. 주기적으로 X-ray 검사를 하여 골유합을 확인하고, 유합 후에는 운동범위 재활치료를 시행합니다.
  • 수부 질환
    주상골골절
    • 정상

    • 주상골골절

    초기에는 단순히 삔 것으로 착각해 치료시기를 놓치는 경우가 많으나,
    장기간 방치할 경우 손목 관절염으로 이어질 수 있어 적절한 치료가 필요합니다.
    • 주상골골절 진단
      방사선 손목 사진을 찍어서 확인합니다. 그러나, 처음 방사선사진에서 나타나지
      않더라도 골절이 의심되면 2-3주 후에 다시 찍어 재확인하여야 합니다.
      필요한 경우에는 골 주사 검사(bone scan), 전산화 촬영(CT),
      자기공명영상(MRI) 등의 특수 검사를 하여 확인하면서 골절된 양상도 자세히 알 수 있습니다.
    주상골골절 치료방법
    • 비수술적 치료

      골절 정도와 전위에 따라 부목 고정, 기브스,
      압박붕대 등의 비수술적 치료를 시행합니다.
    • 수술적 치료

      명백한 골절선이 관찰되거나 변형이 확인될 경우
      후유증 예방을 위해 응급수술을 시행합니다.
  • 수부 질환
    굴곡건손상
    • 정상

    • 굴곡건손상

    불완전한 파열은 치료시기를 놓치는 경우가 많으나,
    장기간 방치할 경우 힘줄이 완전 파열될 수 있어 주의가 필요
    합니다.
    • 굴곡건손상 진단
      이학적 검사(시진, 촉진, 검진, 타진) 등 의사의 진찰을 필요로 합니다.
      X-ray, MRI, 초음파 검사를 할 수 있습니다.
    굴곡건손상 치료방법
    • 수술적치료

      굴곡건 손상 시 응급수술이 필요합니다. 수술 후 6~8주간 기능회복을 위한 고정을 하게 되며
      유착방지를 위해 운동범위에 대한 재활치료를 시행합니다. 적절한 재활이 잘 이루어진다면 기존의 기능을 회복할 수 있습니다.
  • 수부 질환
    손가락골절
    • 정상

    • 손가락골절

    골절을 장기간 방치할 경우 만성통증, 불안정증, 관절염 등으로 발전할 수 있어
    1~2일 이상 통증이 지속되면 전문의 진단을 받는 것이 좋습니다.
    • 손가락골절 진단
      이학적 검사(시진, 촉진, 검진, 타진) 등 의사의 진찰을 필요로 합니다.
      X-ray를 다양한 각도에서 찍습니다.
    손가락골절 치료방법
    • 비수술적 치료

      소리는 나지만 통증을 동반하지 않는 경우에 해당됩니다. 소염제를 복용하거나 물리치료와 주사치료를 통해 통증을 완화시키고 운동치료를 병행합니다.
    • 수술적 치료

      인대파열로 인한 불안정성이 있거나 골절이 어긋나 있을 경우 핀, 와이어, 작은 나사로 뼈 조각을 고정시키는 골절 정복술을 시행합니다. 유합 후에는 관절운동 범위 재활치료가 필요합니다.
척추 관절 바로바로 척척!
연세바로척병원의 자부심
임상경험이 풍부한
의료진 맞춤진료
정형외과, 신경외과, 내과, 마취통증의학과, 영상의학과
각 분야별 의료진의 유기적인 협진 시스템을 통해
시술 및 비수술, 수술적 치료를 진행합니다.
분야별
특화 진료 시행
관절, 척추 등 분야별 의료진의 전문성을 바탕으로
세분화된 치료를 위한 분야별 특화 진료를 시행합니다.
  • 척추센터

  • 관절센터

  • 수/족부센터

  • 내과센터

  • 치료센터

  • 성형센터